Diagnosis Atresia Esofagus
Diagnosis atresia esofagus didapat dari gambaran klinis 3C, yaitu choking, cyanosis, dan coughing serta dapat ditegakkan melalui adanya gambaran manifestasi klinis ketidakmampuan pemasangan nasogastric tube atau orogastric tube.
Biasanya kateter akan mengalami hambatan di antara thoracic inlet dan T4, sehingga selang akan berhenti setelah masuk sekitar 10–12 sentimeter. Selang juga dapat dijadikan sebagai media kontras dengan udara sebagai bahan kontras untuk menghindari tersedak bila menggunakan media kontras berupa cairan pada rontgen.[3]
Klasifikasi
Jenis atresia esofagus dibagi menjadi 5 tipe, yaitu tipe A sampai E. Pembagian ini berdasarkan letak serta ada tidaknya tracheoesophageal fistula (TEF). Klasifikasi atresia esofagus sebagai berikut:
- Tipe A (8%) merupakan atresia esofagus terisolasi tanpa adanya tracheoesophageal fistula (TEF)
- Tipe B (1%), yaitu atresia esofagus dengan TEF proksimal
- Tipe C (84%), yaitu atresia esofagus proksimal dengan TEF distal, tipe ini merupakan yang paling sering ditemui
- Type D (3%), yaitu atresia esofagus dengan TEF proksimal dan distal
- Type E (4%) atau tipe H yaitu esophageal atresia terisolasi dengan saluran esofagus yang menyatu atau adanya TEF yang tidak disertai dengan atresia esofagus, tetapi terdapat fistula ke trakea[7,9,22,23]
Gambar 2. Jenis Atresia Esofagus. Sumber: Shutterstock, 2022[23]
Anamnesis
Anamnesis atresia esofagus dapat dilakukan dengan mencari riwayat ditemukannya tanda klinis yang berhubungan dengan atresia esofagus yang sering tampak segera setelah bayi lahir yaitu:
- Sekresi saliva berlebihan pada neonatus
- Regurgitasi, tersedak, dan batuk saat pemberian makan
- Sianosis
Respiratory distress[3]
Seringkali atresia esofagus yang disertai dengan tracheoesophageal fistula (TEF) di diagnosis saat kehamilan, sehingga pada anamnesis dapat ditanyakan hal ini.[22]
Pemeriksaan Fisik
Pemeriksaan fisik pada keadaan atresia esofagus dapat dicurigai pada ibu yang mengalami keadaan polihidramnion saat antenatal care berupa tinggi fundus uteri yang jauh lebih besar dari usia kehamilan yang seharusnya.[6]
Atresia esofagus memiliki karakteristik klinis 3C, yaitu choking, coughing dengan atau tanpa distress pernapasan, serta cyanosis. Kemudian dikonfirmasi dengan gambaran khas selang nasogastric tube atau orogastric tube yang tidak dapat melewati esofagus. Pada atresia esofagus dengan TEF, dapat terjadi refluks isi gaster ke fistula kemudian memberikan gambaran klinis pneumonia aspirasi dan distress napas.[6,22,23]
Akan tetapi, pada atresia esofagus tipe E, diagnosis mungkin tidak didapatkan segera setelah lahir, karena fistula berukuran kecil. Seringkali gambaran klinis baru muncul setelah tahun pertama kehidupan, dimana bayi masih bisa menelan susu, tetapi batuk setelah minum susu, batuk berdahak yang sifatnya silent, agak sianosis setelah makan, takipnea yang tidak dapat dijelaskan dan pneumonia aspirasi berulang.[22,23]
Bayi dengan atresia esofagus tipe E ini juga dapat mengalami distensi abdomen, karena masuknya udara ke lambung. Biasanya udara ini dapat diaspirasi pada saat pemasangan nasogastric tube atau orogastric tube.[22,23]
Pemeriksaan terkait Sindrom VACTERL
Sindrom VACTERL terdiri dari kumpulan defek kongenital berikut ini:
Vertebral defects, yaitu defek pada tulang belakang bawaan pada bayi
Anorectal malformations seperti malformasi kloakal dan imperforasi anus
-
Cardiovascular defects yaitu penyakit jantung bawaan seperti tetralogy of Fallot dan ventricular septal defect
Tracheoesophageal defects, yaitu atresia esofagus dengan/atau tanpa fistula trakeoesofageal
-
Renal anomalies, contohnya agenesis renal
Limb deformities contohnya club foot[1]
Kelainan kongenital yang berhubungan dengan VACTERL adalah kelainan yang saling berhubungan, sehingga bila ditemukan satu kelainan yang merupakan bagian dari sindrom ini, pasien perlu diperiksa terhadap kemungkinan adanya defek kongenital lain yang merupakan bagian dari sindrom ini. Contohnya pada pasien dengan penyakit jantung bawaan, perlu diperiksa adanya defek kongenital lain seperti atresia esofagus atau club foot.[1]
Diagnosis Banding
Diagnosis banding atresia esofagus terdiri dari hernia diafragma kongenital, laryngotracheoesophageal cleft, esophageal webs/rings, striktur esofagus, divertikulum esofagus, tubular esophageal duplications, congenital short esophagus, dan agenesis trakea.[13,14]
Hernia Diafragma Kongenital
Hernia diafragma kongenital adalah kondisi bawaan berupa defek pada diafragma, mulai dari penipisan diafragma hingga tidak terbentuk diafragma sama sekali pada bayi baru lahir. Bila terdapat celah pada diafragma atau tidak terbentuk diafragma maka organ di abdomen dapat memasuki rongga toraks. Keadaan ini dapat dibedakan dengan atresia esofagus melalui pemeriksaan rontgen.[15]
Laryngotracheoesophageal Cleft
Kondisi laryngotracheoesophageal cleft adalah keadaan yang timbul saat terjadi defek midline antara laring posterior dan trakea dan dinding anterior esofagus. Laryngotracheoesophageal cleft memiliki manifestasi prenatal berupa polihidramnion dan gambaran rontgen post natal berupa gelembung abdomen yang kecil atau tidak ada gelembung sama sekali serta riwayat aspirasi saat diberi makan. Laryngotracheoesophageal clefts juga umum ditemukan bersama kondisi TEF.[14]
Esophageal Webs/Rings
Esophageal webs/rings adalah keadaan berupa obstruksi parsial sirkumferensial lumen esofagus yang disebabkan oleh jaringan diafragmatik atau membranosa yang berhubungan dengan kejadian TEF.
Esophageal webs/rings umumnya tidak bergejala. Bila muncul, gejala umumnya berupa vomitus berulang, disfagia terutama pada pemberian makanan padat dibanding cair, dan aspirasi. Gejala umumnya timbul lebih lama dibanding gejala pada atresia esofagus yang muncul segera setelah lahir.[14]
Striktur Esofagus
Striktur esofagus adalah kondisi penyempitan lumen esofagus akibat faktor ekstrinsik maupun intrinsik. Manifestasi klinis umumnya muncul dengan pola yang mirip dengan esophageal webs/rings.[14]
Divertikulum Esofagus
Divertikulum esofagus adalah keadaan timbulnya kantung di dinding esofagus. Divertikulum esofagus dapat ditemukan sejak lahir namun umumnya kondisi ini muncul dan mulai menimbulkan gejala pada usia dewasa. Pasien umumnya datang dengan riwayat disfagia, nyeri dada, vomitus, dan terkadang pneumonia aspirasi.[14]
Tubular Esophageal Duplications
Tubular esophageal duplications adalah kondisi timbulnya tubular channels yang terletak paralel dengan esofagus dan umumnya tersambung dengan lumen esofagus atau gaster. Kondisi ini sering asimtomatik dan hanya ditemukan secara tidak sengaja saat dilakukan autopsi. Bila timbul gejala, umumnya merupakan hasil dari inflamasi dan/atau distensi akibat food entrapment serta biasanya juga disertai disfagia intermiten.[14]
Congenital Short Esophagus
Congenital short esophagus adalah keadaan abnormal berupa esofagus yang lebih pendek dari normal disertai sebagian dari organ abdomen yang terletak di intrathoraks. Gejala yang timbul umumnya berupa refluks gastroesofageal dan vomitus. Keadaan ini dapat terlihat melalui rontgen thoraks.[14]
Tracheal Agenesis/Atresia
Kondisi ini menyebabkan tidak terhubungnya laring dan alveoli paru. Kondisi ini dapat disertai pula dengan TEF. Gambaran manifestasi prenatal antara lain hyperechoic lungs, flattened diaphragms, oligohidramnion atau polihidramnion, dan large breathing movements.[14]
Gejala postnatal antara lain severe respiratory distress, sianosis, lahir tidak menangis, dan failure to ventilate walaupun telah dilakukan intubasi.[14]
Pemeriksaan Penunjang
Pemeriksaan penunjang yang dapat dilakukan pada pasien untuk menegakkan diagnosa post natal dan prenatal atresia esofagus adalah pemeriksaan rontgen dan ultrasonografi.
Rontgen
Rontgen thorax dengan menggunakan udara sebagai kontras dapat menjadi pemeriksaan penunjang untuk mengonfirmasi diagnosis atresia esofagus. Bila terdapat distal TEF pada pasien, udara abdomen akan tampak pada rontgen dan abdomen tampak distensi.[1,3]
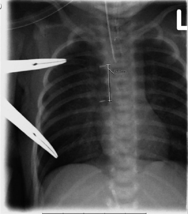
Dengan menggunakan nasogastric tube atau orogastric tube yang bersifat radioopak dengan ukuran ukuran 8 French untuk bayi preterm dan ukuran 10 French untuk bayi aterm, dapat dilakukan pemeriksaan patensi esofagus dengan memasukkan selang melalui hidung atau mulut hingga ke gaster.[16]
Jarak normal menuju gaster pada bayi adalah 17 cm. Pada pasien dengan atresia, selang akan berhenti setelah masuk dengan jarak sekitar 10 hingga 12 cm.
Walau demikian, terdapat kemungkinan inakurasi hasil karena selang dapat menggulung di area sebelum atresia esofagus dan dipersepsikan sebagai selang berhasil masuk. Untuk itu, perlu dilakukan pemeriksaan rontgen thoraks posisi posteroanterior (PA) dan lateral untuk mengonfirmasi posisi selang setelah pemasangan.[16]
Gambar 3. Hasil Rontgen Atresia Esofagus dengan Traksi. Sumber: van der Zee DC, Gallo G, Tytgat SHA, Openi, 2015.
Gambaran rontgen juga sebaiknya memperlihatkan seluruh abdomen dengan baik. Karena pada pasien atresia esofagus, gambaran udara di perut menunjukkan bahwa terdapat distal fistula, dan adanya udara di usus dapat menyingkirkan kemungkinan atresia duodenal.[16]
Gambaran rontgen thoraks juga dapat memberikan informasi mengenai gambaran jantung beserta posisinya, letak arkus aorta dan ada tidaknya anomali vertebra dan tulang iga, serta memperlihatkan ada tidaknya infiltrat pada paru.[16]
Penggunaan kontras umumnya tidak diperlukan untuk menegakkan diagnosa atresia esofagus. Penggunaan kontras hanya sedikit meningkatkan gambaran rontgen, dibanding besarnya peningkatan risiko pneumonitis aspirasi dan edema paru reaktif bila menggunakan kontras.[16]
Ultrasonografi
Ultrasonografi prenatal dapat digunakan untuk memprediksi atresia esofagus bila ditemukan polihidramnion dan/atau fetal stomach bubble yang tidak tervisualisasi saat pemeriksaan. Walau demikian, kedua tanda ini bersifat tidak spesifik dan dapat juga disebabkan oleh kondisi medis lainnya, seperti diabetes maternal, digestive tract atresia, chloride diarrhea, Pierre Robin syndrome, dan Bartter syndrome.[17]
Sensitivitas ultrasonografi dalam mendiagnosis atresia esofagus berkisar antara 8.9–42%, mengingat sifatnya yang operator–dependent. Gambaran visualisasi langsung dari esofagus yang tidak berujung atau adanya kantong yang terlihat saat janin menelan di ujung esofagus “pouch sign” dapat terlihat sejak usia kehamilan 23 minggu, tetapi sangat sulit untuk ditemukan.[17]
Direvisi oleh: dr. Felicia Sutarli

