Diagnosis Ulkus Kornea
Diagnosis ulkus kornea ditegakkan dengan defek epitel kornea disertai kekeruhan kornea. Keluhan yang umumnya timbul adalah mata merah, nyeri, sensasi benda asing, fotofobia, sekret dari mata, dan mata berair.
Pemeriksaan yang perlu dilakukan adalah pemeriksaan mata anterior, pemeriksaan tajam penglihatan dan respon pupil, yang dapat dilanjutkan dengan tes fluoresensi dan tes seidel. Deteksi etiologi dapat dilakukan dengan kultur sekret atau infiltrat kornea.[1,3–5,11–15]
Anamnesis
Anamnesis keluhan pada ulkus kornea umumnya berupa mata merah, nyeri sedang-berat, sensasi benda asing, fotofobia, mata berair, dengan/tanpa sekret mata. Nyeri pada ulkus kornea cukup signifikan, karena pada kornea terdapat ujung saraf sensorik. Akan tetapi, pada etiologi infeksi virus herpes simpleks, seringkali nyeri yang dirasakan tidak terlalu signifikan.
Anamnesis mengenai nyeri juga meliputi karakteristik nyeri, di mana nyeri tajam lebih menunjukkan infeksi bakteri, sedangkan sensasi benda asing lebih menunjukkan infeksi virus. Nyeri yang terjadi/memberat terutama saat melihat cahaya biasanya lebih berhubungan dengan autoimun maupun etiologi non-infeksius. Gangguan tajam penglihatan terutama pada keadaan opasitas maupun ulkus kornea yang sudah melibatkan aksis visual.[1,3–5,12,13,22]
Anamnesis lebih lanjut perlu mencakup onset, durasi gejala, faktor yang meringankan atau memperberat gejala, serta pengobatan yang telah dilakukan. Selain itu, faktor risiko yang perlu digali adalah:
- Penggunaan lensa kontak, termasuk tipe, cara penyimpanan, kebersihan, penggunaan jangka panjang, dan penggunaan selama tidur atau berenang
- Riwayat trauma maupun kelainan okular
- Riwayat operasi mata
- Riwayat infeksi, seperti infeksi herpes simpleks
- Riwayat pekerjaan dan kemungkinan paparan area mata
- Riwayat penggunaan obat
- Riwayat penyakit sistemik, seperti penyakit autoimun, diabetes mellitus, dan HIV[1,3–5,12,13]
Pemeriksaan Fisik
Pemeriksaan fisik mata yang dilakukan adalah pemeriksaan mata anterior, pemeriksaan visus, tekanan intraokular, dan respon pupil.
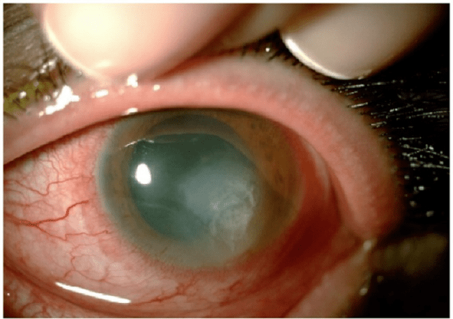
Pemeriksaan mata anterior sebaiknya dilakukan dengan menggunakan slit lamp. Pada pemeriksaan ini akan didapatkan defek pada epitel kornea berupa gangguan opasitas berwarna kuning atau putih yang mungkin disertai kekeruhan kornea.[1,3-5,13]
Gambar 2. Ulkus Kornea pada Slit Lamp.
Ulkus kornea dalam yang melibatkan seluruh ketebalan kornea dapat memberikan komplikasi infeksi pada kamera okuli anterior (KOA). Pada kondisi ini, dapat ditemukan hipopion dengan meningkatan tekanan intraokular dan gangguan respons pupil.
Gangguan tajam penglihatan yang diidentifikasi dari pemeriksaan visus dapat terjadi pada kondisi dimana ulkus maupun gangguan opasitas kornea sudah mencapai aksis visual. Hal ini karena, kornea yang merupakan organ refraktif.[1,3–5,13]
Klasifikasi
Ulkus kornea dapat dibagi berdasarkan lokasi dan etiologi.
Klasifikasi Menurut Lokasi
Berdasarkan lokasi, ulkus kornea dibagi menjadi:
- Ulkus kornea sentral yang sering disebabkan oleh infeksi, seperti bakteri, virus, atau jamur
- Ulkus kornea marginal yang sering ditemukan pada orang tua dan berhubungan dengan penyakit autoimun[1,3–5,13]
Klasifikasi Menurut Etiologi
Berdasarkan etiologi, ulkus kornea dibagi menjadi ulkus kornea infeksi dan noninfeksi:
Bakteri:
Pada ulkus kornea yang berhubungan dengan infeksi bakteri, biasanya destruksi kornea terjadi secara cepat, dalam 24-48 jam. Kornea tampak berwarna putih kekuningan sampai keabuan yang berbatas tegas. Edema stroma dapat terjadi bila pengobatan tidak adekuat.[1,3–5,13]
Virus:
Ulkus kornea oleh virus seringkali disebabkan oleh virus herpes simpleks (HSV). Gambaran khas untuk infeksi virus adalah lesi dendritik, yaitu lesi linear bercabgan dengan bulbus terminal dan batas epitel yang membengkak serta mengandung virus hidup. Pada ulkus virus herpes, dapat diikuti oleh vesikel pada lapisan epitel yang apabila pecah akan menimbulkan ulkus yang nekrosis.[1,3–5,13]
Jamur:
Ulkus kornea yang berhubungan dengan infeksi jamur biasanya bersifat indolen dengan infiltrat dan ulkus keabuan, batas ireguler, reaksi inflamasi hebat, dan kadang disertai lesi satelit. Pada sebagian besar kasus terdapat plak endotel, inflamasi hebat pada kamera okuli anterior, dan abses kornea yang berlanjut sampai dengan perforasi kornea.[1,3–5,13]
Amoeba:
Ulkus kornea karena infeksi amoeba, seperti Acanthamoeba, sering berkaitan dengan penggunaan lensa kontak. Gambaran ulkus indolen, terdapat infiltrat perineural, dan berbentuk cincin di parasentral.[1,3–5,13]
Tabel 1. Gambaran Klinis Ulkus Kornea pada Infeksi Jamur VS Acanthamoeba
Ulkus Kornea Non-Infeksi:
Ulkus kornea non-infeksi sering berhubungan dengan penyakit autoimun. Biasanya memiliki karakteristik berupa ulkus perifer disertai kelainan vaskular kolagen. Keadaan ini dapat ditemukan pada rheumatoid arthritis, granulomatosis Wegener, poliarteritis nodosa, dan sindrom Churg-Strauss.
Pada kondisi kronis dapat terjadi ulserasi yang menetap pada bagian perifer kornea, disertai rasa nyeri, penggaungan limbus yang progresif, sehingga berisiko terjadi perforasi kornea.[1,3–5,13]
Diagnosis Banding
Diagnosis banding ulkus kornea adalah keratitis nonulseratif, benda asing kornea, glaukoma akut, dan uveitis anterior.[3,4,16]
Keratitis Nonulseratif
Keratitis adalah inflamasi pada kornea yang bisa disebabkan oleh etiologi infeksi atau non-infeksi. Gejala yang dialami adalah penurunan visus, rasa nyeri, injeksi siliar dan mata berair. Keratitis merupakan reaksi inflamasi umum pada kornea dengan salah satu komplikasinya adalah ulkus kornea.
Perbedaan keduanya adalah dari karakteristik ulkus kornea yang berupa defek pada epitel kornea yang mencapai stroma korne atau lebih dalam. Pada keratitis murni, reaksi inflamasi biasanya akan menyebabkan gangguan opasitas kornea tanpa disertai defek epitel atau ulkus pada kornea.[3,4]
Benda Asing Kornea
Benda asing kornea dapat memberikan gejala sensasi benda asing/rasa mengganjal. Benda asing dapat ditemukan pada pemeriksaan fisik kornea atau terdapat riwayat paparan benda asing sebelumnya. Pasien juga dapat mengeluh nyeri saat mengedip atau melirik, sedangkan pada ulkus kornea umumnya nyeri lebih intens.[3,4]
Glaukoma Akut
Glaukoma akut merupakan suatu keadaan peningkatan tekanan intraokular yang menyebabkan kerusakan saraf optik. Gejala berupa nyeri, penurunan tajam penglihatan, yang bisa disertai dengan mual, muntah, dan nyeri kepala. Pada pemeriksaan akan tampak injeksi konjungtiva, pupil nonreaktif dan middilatasi, bilik mata depan dangkal, dan peningkatan tekanan intraokular > 21 mmHg.[3,4]
Uveitis Anterior
Uveitis anterior adalah inflamasi terbatas pada iris atau badan siliar dengan onset akut. Gejala yang dialami adalah nyeri dan mata merah tanpa sekret, dengan tampakan injeksi, keratik presipitat, sel dan flare, serta miosis inflamatorik. Sebagian besar kasus disertai dengan gejala fotofobia dan penurunan tajam penglihatan yang ringan.[4,16]
Pemeriksaan Penunjang
Pemeriksaan penunjang umumnya dilakukan bila diagnosis inkonklusif, melihat komplikasi seperti perforasi kornea, dan identifikasi etiologi misalnya kultur hapusan sekret mata.
Tes Fluoresensi
Tes fluoresensi dilakukan dengan meneteskan zat warna fluoresein pada mata, kemudian diirigasi dengan cairan steril aquades. Selanjutnya, kondisi kornea dievaluasi dengan lampu celah menggunakan lampu biru. Temuan warna hijau pada kornea mengindikasikan adanya defek pada epitel kornea.[1,2,4]
Gambar 3. Hasil Tes Fluoresensi pada Ulkus Kornea karena Infeksi Bakteri (kanan) dan Infeksi Virus (kiri).
Tes Seidel
Pada tes seidel, fluoresein diteteskan kemudian diberikan sedikit penekanan pada bola mata. Setelahnya, dilihat dengan lampu celah menggunakan lampu biru untuk mengetahui apakah ada gambaran cairan aqueous mengalir keluar dari defek kornea. Bila ditemukan, maka dicurigai telah terjadi perforasi kornea.[1,2,4]
Konfirmasi Etiologi
Etiologi dapat dikonfirmasi dengan melakukan kultur pada infiltrat atau pus dari ulkus kornea. Penyebab tersering adalah bakteri. Patogen yang banyak dilaporkan adalah Staphylococcus aureus, coagulase negative Staphylococcus, dan Pseudomonas aeruginosa.[1,2,4]
Direvisi oleh: dr. Felicia Sutarli


