Diagnosis Ventricular Septal Defect
Diagnosis ventricular septal defect (VSD) atau defek septum ventrikel gold standard adalah kateterisasi jantung, tetapi karena invasif dan tidak selalu dapat dilakukan, temuan klinis echocardiography dimana didapatkannya gambaran defek septum ventrikel sudah dapat menegakkan diagnosis. Manifestasi klinis lain yang muncul biasanya berhubungan dengan gagal tumbuh, gagal jantung kongestif, dan hipertensi pulmonal.
Anamnesis
Anamnesis mengenai gejala muncul pada VSD meliputi mengi, napas cepat, dan kesulitan bernapas. Hal ini terjadi akibat peningkatan tekanan sirkulasi pulmoner dan/atau gagal jantung. Pasien juga mungkin mengalami kesulitan bernapas dan/atau berkeringat saat menyusui serta mengisap susu tidak kuat, sehingga intake makanan sulit dan gagal tumbuh atau failure to thrive.[4]
Sebanyak 80% sampai 90% bayi dengan VSD kecil seringkali datang tanpa keluhan atau asimtomatik. Sedangkan bayi dengan VSD sedang hingga besar seringkali tidak terdiagnosis saat baru lahir, tapi menunjukkan gejala pada usia beberapa minggu hingga bulan ketika maturasi paru terjadi dan tahanan vaskuler menurun. Pasien juga seringkali memiliki riwayat infeksi paru berulang.[4]
Pada anak yang lebih tua atau orang dewasa dengan sindrom Eisenmenger gejala yang muncul dapat berupa jantung berdebar, sesak saat beraktivitas, sinkop, nyeri dada, dan hemoptisis atau batuk berdarah. Pada kelompok ini, pasien dapat datang dengan gangguan hemodinamik maupun gangguan multiorgan, sehingga biasanya pasien datang dengan keluhan sistemik seperti lemas dan menyadari adanya kebiruan pada kulit.[17]
Pemeriksaan Fisik
Pemeriksaan fisik pada VSD dibagi berdasarkan ukuran defek pada septum ventrikel. Hal ini karena, ukuran yang lebih kecil dapat memiliki manifestasi yang lebih ringan dan sebaliknya. Murmur pansistolik atau holosistolik yang merupakan tanda khas VSD pada auskultasi dapat ditemukan maupun tidak, tergantung defek septum ventrikel. Akan tetapi, karena merupakan defek organ vital, maka gangguan hemodinamik sangat penting untuk dievaluasi.[4,17]
Pada bayi dan anak-anak dengan VSD, selain pemeriksaan sistemik, pemeriksaan status gizi sesuai usia dan jenis kelamin perlu dilakukan mengingat komplikasi gagal tumbuh yang mungkin terjadi.[4]
Ventricular Septal Defect (VSD) Kecil
Defek VSD kecil umumnya asimptomatik dengan riwayat pertumbuhan dan perkembangan normal. Ventricular septal defect (VSD) kecil sering kali ditemukan ketika melakukan pemeriksaan fisik rutin, yaitu dengan terdengarnya murmur pansistolik di parasternal sela iga 3 sampai 4 kiri. Selain itu, biasanya pada VSD kecil tidak terjadi gangguan tumbuh kembang.[4,18]
Ventricular Septal Defect (VSD) Sedang
Pasien dengan defek VSD sedang, biasanya akan timbul keluhan pada usia 2 sampai 3 bulan. Hal ini karena, pada usia ini sudah terjadi maturasi paru, sehingga tahanan vaskuler paru menurun. Pada keadaan ini, pemeriksaan fisik dapat menunjukkan adanya tanda gagal jantung.
Toleransi aktivitas fisik pada bayi yang terlihat, antara lain kondisi tidak mampu menghisap susu dengan kuat dan banyak, berkeringat banyak saat menyusui, serta pertumbuhan yang lebih lambat dilihat dari kurva pertumbuhan. Pada VSD sedang hingga berat, tanda infeksi paru seperti demam dan ronki perlu diidentifikasi karena pasien cenderung sering mengalami infeksi paru.[18]
Selain itu, pasien juga seringkali menunjukkan tanda edema paru seperti sesak napas saat istirahat, yang dapat dilihat dari adanya takipnea, retraksi interkostal, dan grunting.[18]
Pada anak dengan VSD tipe membranosa dan muskular, sebelum usia 8 sampai 10 tahun, celah VSD dapat menutup dan manifestasi klinis gagal jantung dapat tidak ditemukan lagi. Namun, dapat ditemukan sedikit keterlambatan pertumbuhan akibat manifestasi klinis yang ada sebelumnya.[18]
Ventricular Septal Defect (VSD) Besar
Pemeriksaan fisik pada pada defek VSD yang besar, biasanya akan menunjukkan hasil yang bermakna pada usia 2 sampai 3 minggu, berupa kesulitan menghisap susu, dispnea, dan kardiomegali.
Pada usia 8 sampai 12 minggu bayi biasanya mulai sering mengalami pneumonia maupun edema paru yang ditunjukkan dengan dispnea, takipnea, dan takikardi, serta ditambah dengan demam pada pneumonia. Selain itu, pada usia ini dapat mulai ditemukan hepatomegali.[18]
Sindrom Eisenmenger
Pada pasien dengan sindrom Eisenmenger, manifestasi khas dan paling sering muncul adalah tanda sianosis progresif dan clubbing finger. Pada kelompok ini, shunt sudah berbalik dari kanan ke kiri dan bunyi murmur pada pemeriksaan fisik seringkali sudah berkurang. Akan tetapi, bunyi penutupan katup pulmonal pada S2 bisa terdengar lebih keras.[4,17,18]
Diagnosis Banding
Diagnosis banding VSD antara lain adalah kelainan defek kongenital jantung lainnya, seperti atrial septal defect (ASD), atrioventricular septal defect (AVSD), patent ductus arteriosus (PDA), double-chambered right ventricle, dan still murmur atau innocent vibratory murmur.[4,19]
Atrial Septal Defect (ASD)
Defek pada septum atrium atau atrial septal defect (ASD) merupakan kondisi dimana adanya celah yang memungkinkan komunikasi antara atrium kanan dan kiri. Seperti defek septum ventrikel, defek kecil biasanya asimtomatik, sedangkan defek besar dapat memberikan gejala gagal jantung kongestif pada masa bayi.[4,19]
Pada pemeriksaan fisik, dapat ditemukan murmur ejeksi sistolik yang lembut. Akan tetapi, pada defek yang lebih besar dapat ditemukan murmur mid diastolik. Selain itu, pemeriksaan fisik khas ASD adalah wide fixed split S2, yang ditemukan saat inspirasi karena peningkatan aliran darah balik dan overload ventrikel kanan, serta terlambatnya penutupan katup pulmonal. Diagnosis pasti didapat berdasarkan temuan echocardiography.[4,19]
Atrioventricular Septal Defect (AVSD)
Atrioventricular septal defect (AVSD) adalah defek septum yang melibatkan septum atrium dan ventrikel. Manifestasi klinisnya seringkali mirip dengan defek septum ventrikel sedang hingga besar, seperti takipnea, kesulitan makan, lambatnya penambahan berat badan, dan infeksi pernapasan pada masa bayi.
Temuan pemeriksaan fisik yang membedakan adalah bunyi S1 tunggal, murmur holosistolik pada apeks jantung dan murmur mid diastolik pada sternum kiri bawah dan apeks. Diagnosis pasti dibuat berdasarkan temuan echocardiography.[4,19]
Patent Ductus Arteriosus (PDA)
Patent ductus arteriosus (PDA) adalah keadaan dimana duktus arteriosus, yang menghubungkan aorta torakalis desendens dengan arteri pulmonalis pada fetus, yang seharusnya tertutup setelah lahir, gagal menutup.[4,19]
Klinis PDA dapat asimtomatik, dapat pula takipnea, kesulitan makan, dan berat badan rendah, mirip dengan defek septum ventrikel. Left-to-right shunt menyebabkan peningkatan aliran darah ke paru atau pulmonary overcirculation, sehingga terjadi murmur terus menerus seperti mesin pada auskultasi. Sensasi prekordial seperti suara mesin mungkin dapat dirasakan. Didiagnosis berdasarkan temuan echocardiography.[4,19]
Still Murmur atau Innocent Vibratory Murmur
Still murmur atau innocent vibratory murmur adalah murmur ringan yang biasanya tidak berhubungan dengan kelainan jantung dan berkurang saat preload berkurang serta meningkat bila cardiac output meningkat, seperti demam.[20]
Kondisi ini pada umumnya tanpa gejala. Pada auskultasi, ditemukan murmur sistolik dengan nada rendah yang paling terdengar di batas sternum kiri bawah atau apex. Keadaan ini sering ditemukan pada anak usia 3 sampai 6 tahun. Pada pasien bayi, mungkin memerlukan echocardiography untuk menyingkirkan murmur patologis.[20]
Pemeriksaan Penunjang
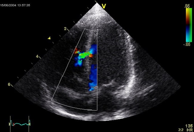
Diagnosis VSD ditegakkan dengan pemeriksaan echocardiography. Echocardiography dua dimensi dengan Doppler biasanya cukup untuk melakukan diagnosis, mengidentifikasi lokasi defek, dan mengestimasi besarnya shunt.
Kateterisasi jantung pernah menjadi gold standard diagnosis VSD, tapi karena invasif dan tidak terdapat di semua tempat, pemeriksaan ini tidak terlalu banyak dilakukan lagi. Informasi tambahan dapat diperoleh dengan pemeriksaan foto toraks, MRI, EKG, serta pemeriksaan laboratorium.[3,4]
Echocardiography
Echocardiography, biasanya transthoracic atau color Doppler pada VSD dilakukan untuk mengkonfirmasi keberadaan, ukuran, dan lokasi defek septum ventrikel dan memberikan informasi untuk merencanakan prosedur pembedahan.[4]
Klasifikasi VSD berdasarkan ukuran menurut pemeriksaan ekokardiografi adalah sebagai berikut:
- Kecil: kurang dari atau sama dengan 25% dibanding diameter anulus aorta
- Sedang: 25%-75% dibanding diameter anulus aorta
- Besar: lebih dari 75% dibanding diameter anulus aora[2,6]
Pemeriksaan penunjang ini selain membantu mendiagnosis, tapi juga membantu mengevaluasi hemodinamik pada VSD. Echocardiography juga dapat mengidentifikasi peningkatan tekanan arteri pulmonalis, obstruksi right ventricular outflow tract (RVOT), insufisiensi aorta, dan distorsi katup atau valve distortion.[4]
Gambar 3. Ventricular Septal Defect pada Gambaran Echocardiography
Echocardiography transesofageal (TEE) kadang diindikasikan jika ekokardiografi transtorakal tidak memadai. Pemeriksaan TEE juga dapat digunakan intraoperatif untuk membantu menilai tingkat perbaikan, adanya lesi sisa, atau untuk panduan selama penempatan perangkat operatif.[4]
Kateterisasi Jantung
Kateterisasi jantung pernah digunakan sebagai evaluasi rutin pada bayi dengan VSD. Akan tetapi, sekarang jarang digunakan karena echocardiography sudah cukup untuk menegakkan diagnosis. Pemeriksaan ini dapat dilakukan untuk menilai pulmonary vascular resistance (PVR) dan apakah hipertensi pulmonal yang terjadi sifatnya reversibel.[31]
Selain itu, kateterisasi jantung juga dapat melihat derajat shunting yang dilihat dari rasio aliran darah pulmonal terhadap aliran darah sistemik (Qp:Qs) dan respons terhadap vasodilator, seperti captopril dan sildenafil, paru untuk memandu terapi. Kateterisasi jantung juga dapat memberikan informasi tentang lokasi dan jumlah defek, derajat insufisiensi aorta, dan integritas katup aorta.[17,19]
Rontgen Toraks
Pemeriksaan rontgen toraks pada pasien dengan VSD sedang sampai besar dapat ditemukan kardiomegali, terutama ventrikel kiri, atrium kiri, ventrikel kanan, dan atrium kanan. Selain itu, juga dapat ditemukan peningkatan vaskularisasi paru dan edema paru. Akan tetapi, pada VSD kecil biasanya tidak memberikan gambaran yang signifikan.
Temuan rontgen toraks pada pasien dengan sindrom Eisenmenger dengan peningkatan resistensi paru adalah peningkatan vaskularisasi, kardiomegali dan dilatasi arteri pulmonalis komunis.[4,19]
Magnetic Resonance Imaging (MRI)
Magnetic resonance imaging (MRI) kardiak dapat digunakan untuk mendeteksi VSD dan untuk mengkonfirmasi menutupnya VSD setelah operasi. Indikasi pemeriksaan MRI pada VSD, antara lain gambaran ekokardiografi awal yang tidak jelas atau tidak meyakinkan dan untuk memastikan adanya double chambered right ventricle (DCRV).[4,21]
Pemeriksaan MRI juga dapat mendeteksi defek ekstrakardiak, seperti koarktasio aorta dan stenosis cabang arteri pulmonalis. Pengukuran lain yang dapat dilakukan dengan pemeriksaan MRI kardiak, antara lain rasio aliran pulmonal-sistemik (pulmonary to systemic flow ratio/ Qp:Qs), volume sekuncup (stroke volume/SV) ventrikel kiri dan kanan, dan resistensi arteri pulmonalis.[4,21]
EKG
Hasil elektrokardiografi atau EKG biasanya normal pada pasien dengan defek septum ventrikel kecil.
Hipertrofi ventrikel kiri dapat ditemukan pada pasien VSD sedang dan besar. Biasanya gambaran ini didapat dengan adanya gelombang R yang tinggi pada V1 atau 2 serta gelombang S yang dalam pada V5 atau 6 dengan atau tanpa abnormalitas pada gelombang T maupun segmen ST. Gambaran hipertrofi pada EKG terutama muncul pada pasien dengan left-to-right shunt dan kelebihan volume.[30]
Selain itu, pada pasien dengan hipertensi pulmonal, dapat ditemukan gambaran EKG berupa right bundle branch block (RBBB), deviasi aksis jantung ke kanan, dan hipertrofi ventrikel serta atrium kanan. Gambaran ini juga seringkali ditemukan pada pasien dengan sindrom Eisenmenger.
Fenomena Katz-Wachtel adalah gambaran kompleks RS bifasik besar di V2 sampai 5. Fenomena ini merupakan pola EKG klasik anak dengan VSD disertai hipertrofi biventrikular.[4,21]
Pemeriksaan Laboratorium
Pemeriksaan laboratorium pada VSD meliputi pemeriksaan darah lengkap, elektrolit, analisa gas darah, dan B-type natriuretic peptide (BNP) serta N-terminal (NT)-pro hormone BNP (NT-proBNP) dapat membantu diagnosis VSD.
Pemeriksaan Darah Lengkap:
Pemeriksaan darah lengkap dilakukan untuk menilai adanya tanda infeksi serta adanya eritrositosis. Eritrositosis seringkali ditemukan pada pasien dengan sindrom Eisenmenger sebagai bentuk kompensasi supply oksigen yang kurang. Selain itu, keadaan ini juga menyebabkan hiperviskositas, sehingga hematokrit ikut naik.[32]
Pemeriksaan Elektrolit:
Pemeriksaan elektrolit pada VSD dilakukan terutama pada pasien yang dilakukan terapi pemberian diuretik, seperti furosemide. Pemberian diuretik ini dapat memiliki efek samping gangguan keseimbangan elektrolit, seperti hipokalemia, hiponatremia, dan hipokloremia.[34]
Analisa Gas Darah:
Analisa gas darah juga penting diperiksa pada pasien dengan VSD terutama VSD sedang dan besar, serta dengan sindrom Eisenmenger karena sianosis yang dialami. Selain itu, pasien VSD yang mendapat bantuan napas ventilator juga perlu dilakukan pemeriksaan AGD. Terapi dengan diuretik, seperti furosemide, juga memiliki efek samping alkalosis, sehingga pemeriksaan AGD juga diperlukan.[34]
Pemeriksaan B-type natriuretic peptide (BNP) serta N-terminal (NT)-pro hormone BNP (NT-proBNP):
Pemeriksaan kadar BNP dan NT-proBNP merupakan biomarker yang meningkat pada keadaan gagal jantung kongestif. Pada VSD, peningkatan kadarnya terjadi karena adanya disfungsi sistolik dan diastolik jantung.[3,33]
Skrining Ventricular Septal Defect (VSD) Prenatal
Skrining prenatal untuk VSD dapat dilakukan dengan melakukan ultrasonografi obstetri dari lateral view dengan gambaran four chamber view dengan mengidentifikasi defek septum ventrikel. Selain itu, LVOT dari five chamber view juga dapat dinilai untuk melihat adanya VSD membranosa. Akan tetapi, sensitivitasnya bervariasi antara 30-83%, karena pengaruh struktur anatomis yang berbeda sesuai usia kehamilan dan interpretasi operator.[17,35]
