Pendahuluan Kanker Paru
Kanker paru adalah pertumbuhan sel yang abnormal dan tidak terkendali di dalam jaringan paru akibat adanya kerusakan gen yang berfungsi dalam regulasi proliferasi serta diferensiasi sel. Kanker paru primer merupakan keganasan pada jaringan yang berasal dari sel-sel yang berada di dalam organ paru, sedangkan kanker paru sekunder adalah kanker yang bermetastasis ke paru-paru dengan kanker primernya berasal dari luar organ paru.[1-3]
Kanker paru memiliki prevalensi yang tinggi dan merupakan salah satu penyebab utama kematian terkait kanker di seluruh dunia. Insiden kanker paru ditemukan lebih banyak pada laki-laki dibandingkan perempuan, dengan lifetime risk 1:15 pada laki-laki dan 1:17 pada perempuan.[2-5]
Berdasarkan gambaran histopatologi, jenis kanker paru yang paling sering dijumpai adalah non small cell lung cancer (NSCLC), yakni sekitar 84%. Terjadinya kanker paru diasosiasikan dengan paparan atau inhalasi suatu zat yang bersifat karsinogenik dalam jangka waktu yang panjang, termasuk paparan rokok.[2-5]
Pada fase awal, sebagian besar kasus kanker paru tidak menunjukkan manifestasi klinis, sehingga diagnosis sering kali ditegakkan pada saat pasien sudah dalam stadium lanjut. Manifestasi klinis yang dapat dijumpai pada kanker paru adalah batuk persisten lebih dari 2 minggu tanpa respon terhadap terapi farmakologi, hemoptisis, sesak napas, nyeri dada, serta gejala sistemik seperti penurunan berat badan dan demam.[1,3,6,7]
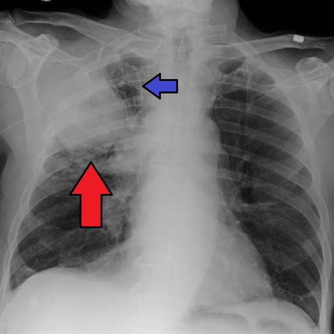
Beberapa prosedur diagnostik dapat dilakukan untuk menegakkan diagnosis kanker paru seperti rontgen toraks, CT scan, dan MRI pada toraks. Pemeriksaan histopatologi merupakan gold standar dalam menegakkan diagnosis kanker paru. Pengambilan sampel sel kanker pada pemeriksaan histopatologi dapat dilakukan dengan prosedur biopsi melalui bronkoskopi, biopsi transtorakal (TTB), serta torakoskopi.[1,3,6]
Modalitas penatalaksanaan kanker paru meliputi terapi operatif, radioterapi, kemoterapi, dan terapi suportif. Pemberian kemoterapi sistemik dapat dikombinasikan dengan terapi operatif dan radioterapi. Tujuan dari penatalaksanaan kanker paru adalah untuk memperpanjang masa bebas penyakit dan meningkatkan angka harapan hidup pasien. Kanker paru memiliki prognosis yang buruk dengan tingkat mortalitas yang tinggi karena komplikasi yang ditimbulkan sangat kompleks.[1,5,7,8]
Penulisan pertama oleh: dr. Ricky Dosan
