Diagnosis Defisiensi Glukosa-6-Fosfat-Dehidrogenase (G6PD)
Diagnosis defisiensi enzim glukosa-6-fosfat-dehidrogenase (defisiensi G6PD) ditegakkan adanya penurunan/tidak adanya aktivitas enzim G6PD melalui pemeriksaan laboratorium.
Anamnesis dan pemeriksaan fisik dapat membantu mengarahkan ke diagnosis penyakit ini, berupa tanda dan gejala hemolisis seperti kelemahan tubuh dan splenomegali, serta pencetus kejadian hemolisis akut seperti infeksi atau penggunaan obat seperti primakuin.
Anamnesis
Anamnesis saja tidak cukup untuk mendiagnosis defisiensi G6PD, karena sebagian besar penderita tidak menunjukkan gejala. Namun, dari anamnesis dapat ditemukan beberapa keluhan serta riwayat yang mengarah ke defisiensi G6PD, yakni:
Ikterus neonatorum: biasanya muncul dalam 24 jam pertama kehidupan, sedikit lebih awal dibandingkan ikterus fisiologis, namun lebih lambat muncul dibandingkan aloimunisasi golongan darah
- Anemia yang timbul setelah terpapar pemicu stres oksidatif
- Gejala hemolisis berat: dapat berupa kelemahan tubuh, takikardi, ikterus, hematuria. Umumnya hemolisis akut muncul 24-72 jam setelah paparan stres oksidatif
- Riwayat anemia hemolitik kronis
- Riwayat defisiensi G6PD pada keluarga[4,11]
Identifikasi Pemicu Kejadian Hemolisis pada Pasien
Pada anamnesis, dokter juga harus mencari faktor penyebab terjadinya kejadian hemolisis pada pasien, yaitu :
- Infeksi
- Obat-obatan: obat yang dapat menyebabkan terjadinya episode hemolisis mencakup antibiotik seperti dapson, antimalaria seperti primakuin, serta obat lainnya seperti dimercaprol dan metamizole
- Kacang fava
- Ketoasidosis
- Kamper
Pemeriksaan Fisik
Pemeriksaan fisik penderita defisiensi G6PD dapat menunjukkan hasil normal. Pada pasien dengan hemolisis berat, dapat ditemukan ikterus, splenomegali, nyeri perut kanan atas akibat hiperbilirubinemia dan kolelitiasis.[4]
Diagnosis Banding
Terdapat beberapa diagnosis lain yang harus dipikirkan dan disingkirkan pada kasus defisiensi G6PD dengan manifestasi klinis ikterus dan anemia hemolitik.
Hemolytic Disease of the Newborn
Hemolytic disease of the newborn (HDN) merupakan kelainan darah pada bayi baru lahir yang biasanya diakibatkan oleh inkompatibilitas Rhesus atau inkompatibilitas ABO. Gejala klinis HDN berupa ikterus, hepatosplenomegali, dan hidrops fetalis pada kasus berat.[4,9]
Meskipun HDN dan defisiensi G6PD sama-sama dapat mengakibatkan ikterus pada neonatus, ikterus akibat HDN umumnya muncul lebih awal (saat lahir atau dalam 24 jam pertama) akibat peningkatan pesat bilirubin indirek. Selain itu, tes Coombs pada HDN menunjukkan hasil positif akibat adanya proses imun, sedangkan pada defisiensi G6PD, tes Coombs menunjukkan hasil negatif.[4,9]
Anemia Sel Sabit
Anemia sel sabit adalah kelainan genetik bersifat resesif autosomal yang mengakibatkan timbulnya HbS, suatu bentuk mutasi hemoglobin.[10]
Sama seperti defisiensi G6PD, anemia sel sabit cukup banyak menyerang populasi keturunan Afrika dan Mediterania, serta keduanya memiliki gejala klinis anemia hemolitik. Namun, tingkat morbiditas dan mortalitas anemia sel sabit lebih tinggi dibandingkan defisiensi G6PD.[4,10]
Anemia sel sabit juga memiliki gejala klinis khas yang tidak dijumpai pada defisiensi G6PD, yakni krisis vasooksklusif. Krisis tersebut terjadi ketika sel-sel sabit menghambat mikrosirkulasi, mengakibatkan jejas iskemik dan nyeri pada organ terkait. Pemeriksaan penunjang untuk menegakkan diagnosis anemia sel sabit adalah skrining pada bayi baru lahir untuk mendeteksi adanya HbS.[4,10]
Pemeriksaan Penunjang
Pemeriksaan penunjang berperan penting untuk menegakkan diagnosis defisiensi G6PD. Pemeriksaan penunjang yang dilakukan meliputi pemeriksaan untuk mendiagnosis suatu hemolisis dan pemeriksaan spesifik untuk memastikan diagnosis defisiensi G6PD.[4]
Pada kasus hemolisis setelah mengonsumsi obat-obatan atau mengalami kondisi lainnya yang dapat memicu stres oksidatif, hiperbilirubinemia neonatal tanpa sebab yang jelas, dan anemia hemolitik nonsferositik, perlu dilakukan pemeriksaan spesifik untuk mendeteksi defisiensi G6PD.[4]
Pemeriksaan Spektrofotometri
Pemeriksaan spektrofotometri merupakan pemeriksaan yang relatif murah dan mudah, serta dapat mendeteksi defisiensi G6PD pada wanita homozigot dan pria. Namun, pemeriksaan ini kurang dapat diandalkan untuk mendeteksi defisiensi G6PD pada wanita heterozigot. Tingkat akurasi pemeriksaan ini adalah sensitivitas 11% dan spesifisitas 99%.[13]
Pemeriksaan Sitokimia
Pemeriksaan sitokimia dapat diandalkan untuk mendeteksi defisiensi G6PD pada wanita heterozigot, namun prosesnya lebih rumit. Pada pemeriksaan tersebut, aktivitas enzim G6PD menimbulkan pewarnaan pada eritrosit. Terdapat granula ungu gelap pada eritrosit dengan aktivitas enzim G6PD, sedangkan eritrosit dengan defisiensi G6PD tidak terwarnai.[13]
Karena pemeriksaan sitokimia menunjukkan aktivitas G6PD dalam masing-masing eritrosit, pemeriksaan tersebut dapat diandalkan untuk mendeteksi defisiensi G6PD pada pria, wanita homozigot, dan wanita heterozigot.[13]
Apus Darah Tepi
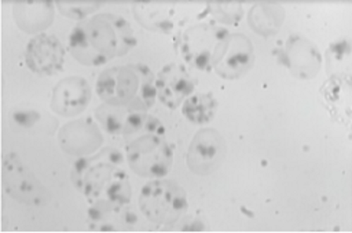
Pemeriksaan apus darah tepi dapat memberi gambaran penyebab anemia. Pada anemia hemolitik, sediaan apus darah tepi dengan pewarnaan rutin dapat menunjukkan polikromasia, pertanda peningkatan produksi sel darah merah.[2,4]
Dengan pewarnaan supravital (Heinz body prep), dapat ditemukan badan Heinz pada kasus anemia hemolitik akibat defisiensi G6PD. Namun, badan Heinz juga dapat ditemukan pada kondisi hemoglobin tidak stabil, seperti hemoglobin Köln. Untuk membedakannya, dapat dilakukan prosedur denaturasi panas.[2,4]
Gambar 1. Badan Heinz dalam eritrosit pada pemeriksaan apus darah tepi. Sumber: Anonim, Openi, 2015.
Bilirubin Direk dan Indirek
Peningkatan bilirubin indirek serum menunjukkan adanya hemolisis sel darah merah.[2,4]
Hitung Retikulosit
Jumlah retikulosit meningkat dalam 4 sampai 7 hari setelah episode hemolisis akut karena sumsum tulang merespons kondisi tersebut dengan memproduksi lebih banyak sel baru. Namun, pemeriksaan hitung retikulosit saja tidak dapat menentukan penyebab anemia hemolitik.[2,4]
Pemeriksaan untuk Skrining
Skrining untuk defisiensi G6PD dapat dilakukan menggunakan rapid diagnostic test atau tes Beutler.
G6PD Rapid Diagnostic Test:
Prinsip tes diagnostik cepat defisiensi G6PD adalah reduksi cat tetrazolium biru-nitro yang tidak berwarna menjadi formazan yang berwarna ungu. Jadi, warna ungu menunjukkan adanya aktivitas enzim G6PD, sedangkan ketidakadaan warna menunjukkan defisiensi G6PD. Warna ungu yang lebih terang dibandingkan sebagian besar sampel pada umumnya juga diinterpretasikan sebagai defisiensi.[12]
Pemeriksaan rapid test ini dapat digunakan untuk skrining G6PD pada orang yang akan mendapat obat yang memicu terjadinya anemia hemolitik, misalnya primakuin atau chloramphenicol.
Tes Beutler:
Tes Beutler merupakan pemeriksaan fluoresensi semikuantitatif untuk mendeteksi defisiensi G6PD. Prinsip tes tersebut adalah mendeteksi pembentukan NADPH dari NADP. Pada eritrosit yang memiliki cukup enzim G6PD fungsional, NADP akan direduksi menjadi NADPH, dan sampel darah tersebut akan menunjukkan fluoresensi di bawah sinar ultraviolet.[4,12,13]
Tes Beutler dikatakan positif jika sampel darah tidak berfluoresensi. Tes tersebut relatif murah dan mudah dilakukan, serta dapat mendeteksi defisiensi G6PD pada wanita homozigot dan pria, namun kurang dapat diandalkan untuk mendeteksi defisiensi G6PD pada wanita heterozigot, dengan sensitivitas 32% dan spesifisitas 99%. Temuan hasil tes Beutler yang positif dapat dilihat pada Gambar 2.[4,12,13]
Gambar 2. Tes Beutler. Tetesan darah pada kertas paling kiri menunjukkan defisiensi G6PD, sedangkan dua kertas lainnya menunjukkan reaksi normal. Sumber: Openi, 2013
Pemeriksaan Lainnya
Pemeriksaan lain yang dapat dilakukan untuk mendiagnosis suatu hemolisis pada orang dengan defisiensi G6PD adalah haptoglobin serum, urinalisis, dan hemosiderin . Pada kasus hemolisis intravaskular berat, dapat ditemukan penurunan kadar haptoglobin serum, hematuria, dan hemosiderin dalam.[2,4]
Direvisi oleh: dr. Gabriela Widjaja

