Pendahuluan Amyloidosis
Amyloidosis adalah penyakit yang disebabkan oleh deposisi atau penumpukan amyloid dalam jaringan. Amyloid dapat terakumulasi pada berbagai organ vital seperti jantung, ginjal, hati, saraf, dan saluran pencernaan. Oleh sebab itulah, manifestasi klinis yang timbul bisa sangat bervariasi, mencakup gagal jantung, sindrom nefrotik, neuropati otonom, gagal ginjal, hipertensi, abnormalitas kornea dan vitreus, serta hepatomegali.
Amyloid adalah protein fibriler tidak larut, berstruktur beta-sheet yang bersifat toksik. Penumpukan amyloid dapat bersifat sistemik atau terlokalisasi, serta dapat diperoleh (akuisita) atau diturunkan (herediter).[1,2]
Amyloidosis diklasifikasikan menjadi tipe primer (amyloid light-chain, AL), sekunder (amyloid A, AA), dan herediter. Tipe AL merupakan amyloidosis sistemik paling umum, disebabkan oleh deposisi immunoglobulin light chain yang diproduksi oleh sel plasma ganas. Tipe AA berkaitan dengan infeksi atau inflamasi kronis yang mendasari. Amyloidosis herediter sering disebabkan oleh mutasi amyloid transport protein transthyretin (ATTR).[1,3,4]
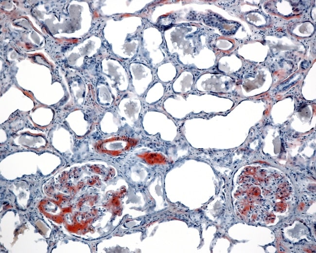
Diagnosis definitif ditegakkan melalui biopsi jaringan dengan pewarnaan Congo red. Hasil yang didapatkan adalah gambaran apple-green birefringence di bawah cahaya terpolarisasi, yang merupakan baku emas.[1,3]
Manifestasi klinis amyloidosis sangat bergantung pada organ yang terkena. Keterlibatan jantung dapat menyebabkan kardiomiopati restriktif dan gagal jantung kongestif. Sementara itu, keterlibatan ginjal biasanya bermanifestasi sebagai proteinuria masif dan edema. Neuropati otonom dapat menyebabkan hipotensi ortostatik, gangguan buang air kecil, dan disfungsi ereksi.[1-3]
Tata laksana amyloidosis sangat bergantung pada jenis dan stadium penyakit. Terapi utama untuk AL adalah kemoterapi dosis tinggi disertai transplantasi sel punca autolog untuk memberantas klon plasma yang memproduksi protein abnormal. Pada amyloidosis AA, penatalaksanaan berfokus pada pengendalian penyakit inflamasi atau infeksi yang mendasari.
Untuk amyloidosis herediter, transplantasi hati dapat menjadi pilihan terapi. Pada kasus dengan kegagalan organ terminal, transplantasi organ (seperti jantung atau ginjal) dapat dipertimbangkan.[1,3,4]
