Pendahuluan Infark Paru
Infark paru merupakan kematian segmen jaringan paru akibat defisiensi suplai darah. Infark paru biasanya merupakan komplikasi dari penyakit primer lainnya, yang paling sering adalah emboli paru. Semakin besar ukuran emboli, semakin besar kemungkinan terjadinya infark paru. Gejala yang paling sering muncul adalah nyeri dada pleuritik, disertai sesak yang tiba-tiba, dan hemoptisis.[1-3]
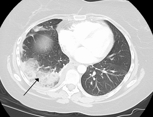
Diagnosis infark paru dapat dilakukan dengan pemeriksaan pencitraan seperti rontgen, CT scan, ataupun PET scan toraks. Dari hasil penelitian Hampton dan Castleman, 70% gambaran infark paru paling banyak ditemukan pada pasien dengan kondisi penyakit jantung kronis dan hipertensi vena pulmonal.[3,4]
Terapi awal dari infark paru adalah mempertahankan status kardiopulmonal. Pemberian antikoagulan dilakukan pada pasien tanpa risiko perdarahan. Apabila ukuran dan jumlah emboli paru masif, trombolisis bisa menjadi pilihan terapi. Pada beberapa kasus, dapat dilakukan embolektomi dan penempatan filter pada vena kava.[2,3]
