Diagnosis Perdarahan Subaraknoid Spontan
Diagnosis perdarahan subaraknoid spontan atau spontaneous subarachnoid hemorrhage (SAH) perlu dicurigai pada pasien dengan keluhan sakit kepala hebat, penurunan kesadaran, kaku kuduk, dan/atau parese nervus kranialis. Pemeriksaan CT scan kepala non kontras adalah pilihan utama dalam menegakkan diagnosis SAH, jika pasien pada anamnesis dan pemeriksaan fisik dicurigai SAH.[1,2]
Anamnesis
Nyeri kepala mendadak merupakan keluhan paling sering dan menjadi gejala utama dari SAH. Sekitar 70% pasien SAH mengalami keluhan nyeri kepala sangat hebat, sehingga pasien dapat mengatakan sebagai nyeri kepala terhebat yang dirasakan sepanjang hidupnya (thunderclap headache).
Gejala penyerta lainnya adalah mual, muntah, fotofobia, kaku pada leher, defisit neurologis (hemiparese atau parese nervus kranialis), kejang, hingga penurunan kesadaran.[1,2,4,6]
Sekitar 10−43% pasien mengeluhkan adanya nyeri kepala yang lebih ringan beberapa hari hingga minggu, sebelum terjadinya serangan thunderclap headache. Episode nyeri kepala ini disebut sebagai nyeri kepala sentinel, yang dapat menjadi tanda perdarahan minor dari dinding aneurisma.[2]
Ottawa Subarachnoid Hemorrhage Rule
Perry et al menciptakan Ottawa subarachnoid hemorrhage rule yang dapat digunakan untuk mengetahui nyeri kepala yang disebabkan oleh SAH. Kriteria nyeri kepala akibat SAH adalah:
- Pasien usia ≥40 tahun
- Thunderclap headache
- Onset muncul saat aktivitas
- Nyeri atau kaku di leher
- Pergerakan fleksi leher terbatas saat pemeriksaan
- Penurunan kesadaran atau riwayat sempat tidak sadarkan diri[4-6]
Jika dari anamnesa terdapat faktor risiko aneurisma otak dan terdapat >1 kriteria dari Ottawa Subarachnoid Hemorrhage, maka harus dicurigai pasien mengalami SAH yang disebabkan ruptur aneurisma, sehingga harus segera dilakukan CT scan kepala non kontras. Ottawa subarachnoid hemorrhage rule ini memiliki nilai sensitivitas 100% dan spesifisitas 15%.[4-6]
Pemeriksaan Fisik
Pemeriksaan fisik yang dapat ditemukan berupa defisit neurologis fokal, kaku kuduk, perdarahan retina. Namun, 50% kasus SAH tidak memiliki kelainan pada pemeriksaan neurologis.[5]
Hunt and Hess grading dan WFNS Scale
Hunt and Hess grading dan World Federation Neurosurgical Society (WFNS) Scale adalah sistem penilaian yang paling banyak digunakan untuk menentukan derajat SAH dan prognosis.[2,4,5]
Tabel 1. Hunt and Hess Grading dan WFNS Scale untuk SAH
| Derajat | Hunt and Hess | WFNS |
| 1 | Tidak bergejala atau sakit kepala ringan dengan sedikit kaku kuduk | GCS 15, tidak terdapat defisit motorik |
| 2 | Sakit kepala sedang hingga berat, kaku kuduk semakin nyata, parese nervus kranialis | GCS 13‒14, tidak terdapat defisit motorik |
| 3 | Tampak mengantuk, kebingungan atau defisit neurologis fokal | GCS 13‒14, terdapat defisit motorik |
| 4 | Stupor, hemiparese sedang hingga berat, dapat terjadi rigiditas deserebrasi dini | GCS 7‒12 |
| 5 | Koma dalam,rigiditas deserebrasi, munculnya tanda-tanda moribund | GCS 3‒6 |
| * GCS = Glasgow coma scale | ||
Sumber: Permana C. 2022.[2,4,5]
Pemeriksaan Penunjang
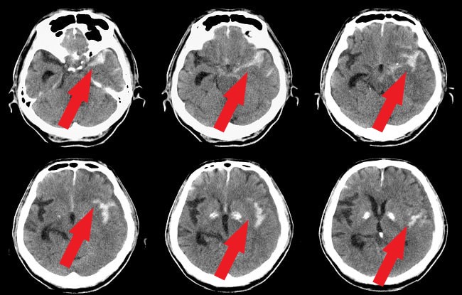
CT scan kepala non kontras adalah pemeriksaan penunjang paling utama untuk pasien dengan dugaan SAH. Selain itu, pemeriksaan penunjang lain adalah lumbal pungsi (LP), CT angiografi (CTA), dan digital subtraction angiography (DSA).
CT Scan Kepala Nonkontras
Pemeriksaan CT scan kepala harus segera dilakukan pada pasien dengan kecurigaan SAH. CT scan yang dilakukan dalam waktu 6 jam sejak onset memiliki angka sensitivitas 100%. Jika pemeriksaan ini dilakukan dalam rentang waktu 72 jam maka memiliki angka sensitivitas 97%. Selanjutnya, jika dilakukan setelah hari ke-5 akan memiliki sensitivitas semakin rendah, yaitu hanya 50%.[4,6]
Gambar 2. CT scan kepala non kontras SAH
Lumbal Pungsi (LP)
Pemeriksaan LP dilakukan jika pemeriksaan CT scan kepala nonkontras tidak menemukan gambaran SAH, padahal dari anamnesa dan pemeriksaan fisik pasien dicurigai mengalami SAH.
Tanda patognomonik SAH dari pemeriksaan LP adalah ditemukan sel eritrosit atau cairan berwarna kekuningan (xanthochromia) pada cairan serebrospinal. Namun, hal ini harus dibedakan dari sel eritrosit akibat traumatik dari penusukan LP, yaitu dengan pemeriksaan spektrofotometri yang tidak dimiliki oleh seluruh laboratorium.
Xanthochromia pada cairan serebrospinal sebenarnya baru dapat ditemukan setelah 12 jam onset, karena menunggu pembentukan bilirubin dari eritrosit yang lisis. Oleh karena keterbatasan dan hambatan ini, pemeriksaan LP sudah jarang dilakukan dan lebih sering digantikan dengan pemeriksaan penunjang lainnya, yaitu CT angiografi (CTA).[3-5]
CT Angiografi (CTA)
CTA serebral saat ini lebih menjadi pilihan untuk menggantikan LP, karena lebih tidak invasif dan tidak nyeri. CTA memiliki sensitivitas 98% dan spesifisitas 100% untuk mendeteksi aneurisma pada pasien dengan SAH. Namun, sensitivitas CTA menurun menjadi 92,3% untuk mendeteksi aneurisma dengan ukuran kecil <4 mm.[5,6]
Magnetic Resonance Angiografi (MRA)
Untuk ukuran aneurisma kecil, pemeriksaan MRA lebih superior, dengan sensitivitas 95% pada aneurisma ukuran >3 mm. Namun, karena keterbatasannya, MRA tidak direkomendasikan menjadi pemeriksaan utama.[5,6]
Digital Subtraction Angiography (DSA)
Pemeriksaan yang menjadi baku emas diagnosis penyebab SAH adalah DSA serebral dengan rekonstruksi 3D. Namun, pemeriksaan ini bersifat invasif, mahal, memerlukan waktu lama untuk pemeriksaan, dan memiliki risiko komplikasi saat pemeriksaan. DSA diperlukan untuk tindakan endovascular coiling, dan jika dari CTA tidak ditemukan penyebab dari SAH.[3,4]
