Pendahuluan Glioblastoma
Glioblastoma merupakan tumor otak primer ganas yang paling sering ditemukan, meliputi 16% neoplasma primer otak dan susunan saraf pusat. Predileksi glioblastoma hampir selalu di otak, tetapi dapat juga muncul di batang otak, serebelum, dan medula spinalis.[1,2]
Glioblastoma diperkirakan berasal dari sel neural prekursor di zona subventrikular. Tumor otak ini terdiri dari campuran heterogen sel-sel neoplastik yang berdiferensiasi buruk dan dipengaruhi interaksi sel-sel imun.[2,3]
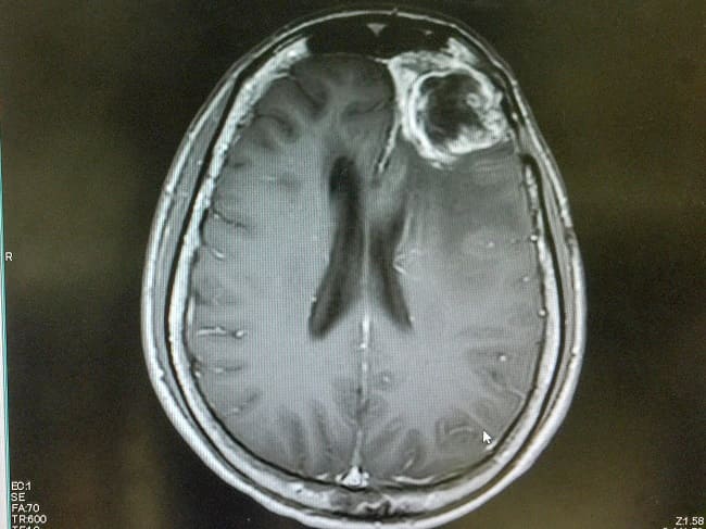
Gejala klinis glioblastoma sangat bervariasi, ditentukan oleh ukuran tumor, lokasi tumor, dan struktur anatomi otak yang terlibat. Pasien sering menunjukkan gejala tekanan tinggi intrakranial, seperti nyeri kepala hebat dan defisit neurologis baik fokal maupun gangguan kognitif. CT scan kepala atau MRI otak merupakan pemeriksaan radiologis diagnostik untuk glioblastoma.[1,3]
Penatalaksanaan glioblastoma membutuhkan pendekatan multidisiplin. Terapi standar saat ini meliputi reseksi, yang diikuti radioterapi dengan temozolomide (TMZ) dan kemoterapi adjuvant dengan TMZ.[1,3]
