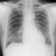
ALO Dokter, saya ada pasien laki-laki usia 78 tahun datang dengan keluhan pusing yang dirasa semakin memberat 2 hari SMRS, muncul tiba-tiba dan pasien...
Tatalaksana pusing pada pasien MR - ALOPALOOZA Jantung - Diskusi Dokter
general_alomedikaDiskusi Dokter
- Kembali ke komunitas
Tatalaksana pusing pada pasien MR - ALOPALOOZA Jantung
Dibuat 24 Juni 2025, 08:16

dr.Eurena Maulidya
Dokter Umum
ALO Dokter, saya ada pasien laki-laki usia 78 tahun datang dengan keluhan pusing yang dirasa semakin memberat 2 hari SMRS, muncul tiba-tiba dan pasien mengeluhkan hampir pingsan karena pandangannya terasa gelap selama beberapa detik. Saat ini juga mengeluhkan sesak, namun sesak muncul hilang timbul. Pasien sudah diketahui memiliki MR severe dan sudah menjalani terapi rutin dengan Sp.JP. Terlampir EKG dan rontgen pasien dibawah. Kira-kira sebagai GP apa tatalaksana yang sebaiknya diberikan untuk pasien ya Dok? Terimakasih sebelumnya

