Pendahuluan Fibrosis Paru Non-Idiopatik
Fibrosis paru non-idiopatik adalah sekelompok penyakit paru interstitial yang disebabkan suatu etiologi dasar dan mengakibatkan terjadinya fibrosis pada jaringan parenkim paru. Fibrosis paru non-idiopatik dapat terjadi pada area trakea, bronkus, bronkiolus, alveoli, dan pleura.[1]
Penyebab fibrosis paru non-idiopatik dapat dikelompokkan menjadi penyebab okupasional dan lingkungan, toksisitas pada paru yang dipicu obat (drug-induced), penyakit jaringan ikat, serta penyakit sistemik. Beberapa penyakit sistemik yang diketahui berkaitan dengan fibrosis paru non-idiopatik adalah rheumatoid arthritis, sarkoidosis, pulmonary Langerhans cell histiocytosis, HIV, hepatitis C, dan inflammatory bowel disease.[1-3]
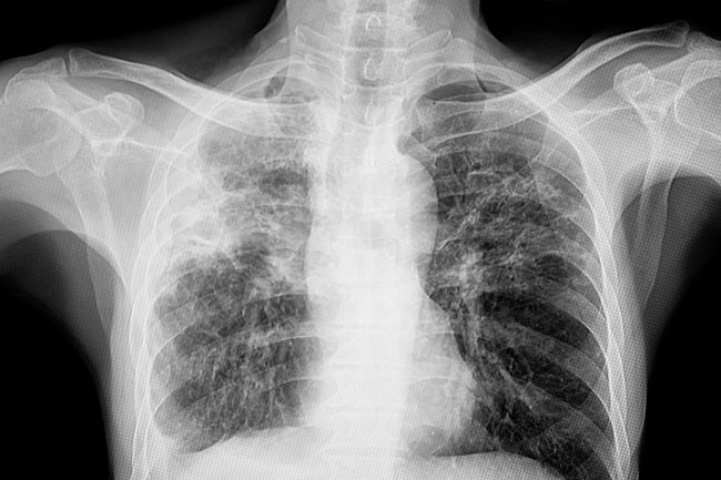
Diagnosis fibrosis paru non-idiopatik ditekankan pada mengidentifikasi kondisi medis yang mendasari timbulnya fibrosis paru. Gejala yang dapat timbul antara lain sesak, batuk, dan napas berbunyi. Pemeriksaan penunjang radiologi akan menunjukkan adanya fibrosis pada parenkim paru. Pemeriksaan penunjang lain, seperti penanda penyakit autoimun atau spirometri, mungkin dapat bermanfaat sesuai skenario klinis masing-masing pasien.
Penatalaksanaan fibrosis paru non-idiopatik bertujuan untuk mencegah perburukan dan memperbaiki kualitas hidup. Penatalaksanaan disesuaikan dengan penyebab yang mendasari timbulnya fibrosis. Terapi definitif hanya berupa transplantasi paru.[1,2]
