Pendahuluan Rhabdomyosarcoma
Rhabdomyosarcoma (RMS) merupakan salah satu keganasan pada jaringan ikat dan otot lurik yang paling banyak menyerang anak-anak. Insidensi rhabdomyosarcoma diperkirakan 3% dari semua tumor ganas pada anak dan 20% dari semua keganasan yang mengenai jaringan ikat. Etiologi dan faktor risiko rhabdomyosarcoma belum sepenuhnya dimengerti, namun penyakit ini sering dikaitkan dengan penyakit genetik.[1,2]
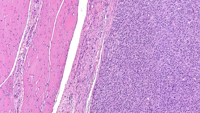
Berdasarkan gambaran histopatologinya, yang penting untuk menentukkan prognosis pasien, terdapat beberapa subtipe dari rhabdomyosarcoma, antara lain:
Embryonal rhabdomyosarcoma,
- Alveolar rhabdomyosarcoma,
- Pleomorphic rhabdomyosarcoma,
Botryoid and spindle cell (leiomyomatous) rhabdomyosarcoma[3,4]
Sementara itu, World Health Organization (WHO) membedakan rhabdomyosarcoma menjadi empat kategori, yaitu embryonal rhabdomyosarcoma (60%), alveolar rhabdomyosarcoma (20%), pleomorphic rhabdomyosarcoma (10%), dan spindle/sclerosing rhabdomysosarcoma (10%). Rhabdomyosarcoma dapat menyerang semua bagian tubuh yang memiliki otot termasuk kepala dan leher (45%), dada dan perut (40%), ekstremitas (15%). Adapun 25%-30% dari rhabdomyosarcoma pada kepala dan leher berasal dari orbita.[1,5]
Diagnosis rhabdomyosarcoma dapat ditegakkan melalui anamnesis, pemeriksaan fisik, pemeriksaan laboratorium, pemeriksaan radiologi, pemeriksaan biopsi untuk penilaian histopatologis, pemeriksaan sitogenetik fluorescent in situ hybridization (FISH), pemeriksaan reverse transcriptase–polymerase chain reaction (RT-PCR), serta pemeriksaan aspirasi sumsum tulang belakang untuk menilai metastasis.[6,7]
Penatalaksanaan rhabdomyosarcoma meliputi kombinasi dari pembedahan, kemoterapi dan radioterapi. Berdasarkan stadium dan lokasi, jenis pembedahan yang dapat dilakukan pada rhabdomyosarcoma adalah operasi eksisi intralesi, eksisi marginal, reseksi luas, dan eksisi radikal.[8,9]
