Pendahuluan Ewing Sarcoma
Ewing sarcoma merupakan keganasan yang dapat terjadi pada tulang dan jaringan lunak. Pada tulang, Ewing sarcoma umumnya terjadi pada pelvis, femur, tibia, dan rangka. Sedangkan pada jaringan lunak, Ewing sarcoma sering terjadi pada dinding toraks, otot gluteus, rongga pleura, dan otot leher.[1,2]
Keganasan ini lebih sering ditemukan pada anak, remaja, dan dewasa muda, dengan prevalensi sekitar 1,5 kasus per 1.000.000 anak, remaja, dan dewasa muda. Sekitar 20–25% pasien dengan Ewing sarcoma telah mengalami metastasis saat diagnosis ditegakkan dan tidak menunjukkan respons yang baik terhadap tata laksana.[1,2]
Pasien biasanya datang dengan keluhan massa yang disertai dengan indurasi, nyeri, bengkak, panas, dan pembesaran vena. Metastasis pada tulang dapat menyebabkan fraktur patologis, sedangkan metastasis pada spinal dapat menyebabkan nyeri punggung yang berkembang menjadi paralisis spinal.
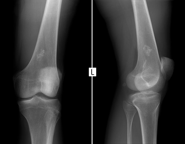
Pemeriksaan laboratorium dapat menunjukkan anemia dan leukositosis. Hasil pencitraan CT scan, MRI, dan rontgen akan memberikan gambaran onion peel pada pasien Ewing sarcoma.[1-3]
Tata laksana Ewing sarcoma tergantung pada derajat keparahan penyakit dengan menggunakan terapi multimodal, yakni tindakan bedah reseksi, radioterapi lokal, hingga kemoterapi kombinasi. Angka kesintasan pasien dengan Ewing sarcoma lokal setelah mendapatkan terapi efektif dapat mencapai 65–75%. Namun, angka kesintasan pasien yang mengalami metastasis atau kekambuhan masih sangat rendah.[2,3]
Direvisi oleh: dr. Hudiyati Agustini
