Pendahuluan Periodontitis
Periodontitis atau peradangan pada jaringan periodontal merupakan inflamasi yang memengaruhi struktur jaringan pendukung gigi, menyebabkan rusaknya jaringan gingiva dan resorbsi tulang alveolar. Kondisi ini akan meningkatkan risiko terjadinya kehilangan gigi.
Faktor penyebab utama periodontitis adalah mikroorganisme yang menginvasi area subgingiva, sehingga memicu respons inflamasi jaringan periodontal. Inflamasi ini kemudian memengaruhi jaringan sehat yang berada di sekitarnya, sehingga dapat menyebabkan kerusakan jaringan tersebut.[1,2]
Periodontitis secara garis besar dibedakan menjadi tiga tipe berdasarkan gambaran klinis dan radiografis, yaitu periodontitis agresif, periodontitis kronis, dan periodontitis manifestasi penyakit sistemik. Periodontitis agresif biasanya terjadi pada usia muda, menyerang beberapa gigi sekaligus secara cepat, dan resorbsi tulang yang terjadi adalah secara vertikal. Sementara, periodontitis kronis terjadi pada usia tua dan resorbsi tulang dalam arah horizontal. Periodontitis manifestasi penyakit sistemik disebabkan oleh diabetes mellitus dan penyakit kardiovaskular seperti hipertensi.[3]
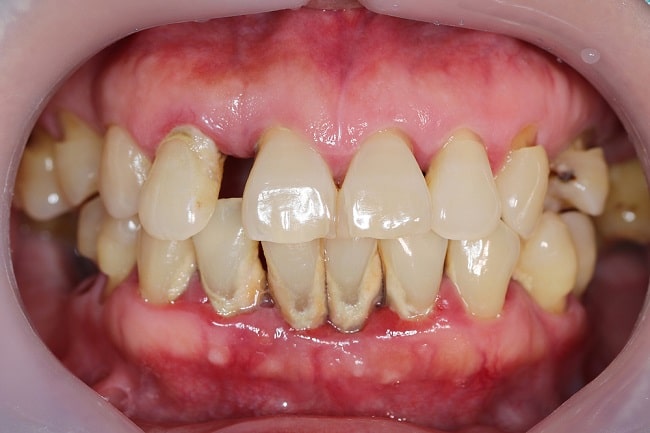
Gejala yang sering dialami oleh penderita adalah rasa tidak nyaman saat mengunyah, merasa mudah berdarah saat menyikat gigi atau mengunyah sesuatu, dan terkadang disertai rasa sakit. Tanda klinis periodontitis umumnya adalah peningkatan probing depth sulkus gingiva, perdarahan saat probing (bleeding on probing), hilangnya perlekatan gingiva (attachment loss), serta resorbsi tulang alveolar baik secara vertikal maupun horizontal.[4]
Diagnosis periodontitis dapat ditegakkan dengan melakukan pemeriksaan intraoral dan pemeriksaan penunjang rontgen panoramik atau orthopantomograph (OPG). Pemeriksaan intraoral yang mengarah kepada periodontitis adalah sulkus gingiva yang menunjukkan kedalaman lebih dari 4 mm, bleeding on probing positif, hingga kegoyahan gigi. Dari pemeriksaan penunjang berupa rontgen panoramik, akan terlihat adanya resorbsi tulang alveolar.[5]
Penatalaksanaan yang utama dari periodontitis adalah menghilangkan akumulasi plak dan kalkulus yang ada di rongga mulut melalui treatment scaling dan root planing yang dilanjutkan dengan kuretase. Hal ini ditunjang dengan aplikasi antibiotik, baik secara sistemik maupun topikal, serta melakukan splinting pada gigi geligi yang mengalami kegoyahan berat.[6]
