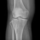
ALO Dokter,Dok, saya dapat pasien wanita (51 tahun) yang tertabrak mobil saat berdiri di trotoar. Apa diagnosis yang tepat pada kasus fraktur ini serta tata...
Apakah Anda memiliki STR?
Alo, sebelum melanjutkan proses registrasi, silakan identifikasi akun Anda.
Ya, Daftar Sebagai Dokter
Belum punya STR? Daftar Sebagai Mahasiswa