ALO Dokter.Ada pasien nih dok dengan keluhan siku tangannya bengkak dan nyeri. Setelah dilakukan rontgen ditemukan gambar berikut. Menurut dokter, apa...
Lesi dekat Siku Tangan, Apa ya penyebabnya? - Diskusi Dokter
general_alomedikaDiskusi Dokter
- Kembali ke komunitas
Lesi dekat Siku Tangan, Apa ya penyebabnya?
Dibalas 13 September 2025, 10:02
dr.Meidina
Dokter Umum
ALO Dokter.
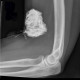
Ada pasien nih dok dengan keluhan siku tangannya bengkak dan nyeri. Setelah dilakukan rontgen ditemukan gambar berikut. Menurut dokter, apa penyebab lesi di dekat siku ini?
Dibuat 09 September 2025, 15:27
12 September 2025, 13:34
dr.Elizabeth Anastasya
Dokter Umum
ALO Dokter.
Penyebab adanya lesi pada tangan adalah ekstravasasi media kontras. Jika dokter memperhatikan dengan teliti akan tampak kanula IV yang masih terpasang di siku. Pasien akan mengeluh nyeri, bengkak, kemerahan dan gatal pada area tersebut.
Pada tata laksana inisial, dokter dapat memberikan kompres dingin dan elevasi lengan yang terkena. Tentukan volume kontras yang di injeksikan dan informasikan kepada dokter yang meminta pemeriksaan tersebut.
Lakukan observasi dan follow up hingga hari berikutnya (mungkin memerlukan beberapa kali follow up). Hal ini dilakukan untuk menilai: lepuhan kulit atau ulserasi, pembengkakan dan nyeri terutama yang berhubungan dengan perubahan perfusi atau sensasi.
Sebagian besar pasien tidak berkembang menjadi komplikasi tetapi volume yang besar ( > 50 mL) biasanya memiliki komplikasi. Komplikasi yang terjadi seperti ulserasi kulit, nekrosis jaringan lunak dan sindrom kompartemen.
Penyebab adanya lesi pada tangan adalah ekstravasasi media kontras. Jika dokter memperhatikan dengan teliti akan tampak kanula IV yang masih terpasang di siku. Pasien akan mengeluh nyeri, bengkak, kemerahan dan gatal pada area tersebut.
Pada tata laksana inisial, dokter dapat memberikan kompres dingin dan elevasi lengan yang terkena. Tentukan volume kontras yang di injeksikan dan informasikan kepada dokter yang meminta pemeriksaan tersebut.
Lakukan observasi dan follow up hingga hari berikutnya (mungkin memerlukan beberapa kali follow up). Hal ini dilakukan untuk menilai: lepuhan kulit atau ulserasi, pembengkakan dan nyeri terutama yang berhubungan dengan perubahan perfusi atau sensasi.
Sebagian besar pasien tidak berkembang menjadi komplikasi tetapi volume yang besar ( > 50 mL) biasanya memiliki komplikasi. Komplikasi yang terjadi seperti ulserasi kulit, nekrosis jaringan lunak dan sindrom kompartemen.