ALO Dokter.Ada pasien laki-laki berusia 32 tahun datang ke IGD dengan keluhan nyeri pada lengannya. Pasien bercerita bahwa di habis ikut tawuran, lalu tidak...
Fraktur apa yang terlihat? - Diskusi Dokter
general_alomedikaDiskusi Dokter
- Kembali ke komunitas
Fraktur apa yang terlihat?
Dibalas 09 September 2025, 15:58
dr.Elizabeth Anastasya
Dokter Umum
ALO Dokter.
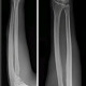
Ada pasien laki-laki berusia 32 tahun datang ke IGD dengan keluhan nyeri pada lengannya. Pasien bercerita bahwa di habis ikut tawuran, lalu tidak sengaja lengan terpukul dengan besi. Berdasarkan gambar rontgen, apa fraktur yang terjadi pada pasien?
Dibuat 02 September 2025, 08:42
09 September 2025, 15:58
dr.Elizabeth Anastasya
Dokter Umum
ALO Dokter.
Jawabannya Nightstick Fracture, ya dok. Fraktur linear pada tulang ulna biasanya terjadi akibat mekanisme pukulan langsung ke lengan bawah. Ini biasanya merupakan cedera defensif yang terjadi pada orang yang berusaha memproteksi kepalanya dari pukulan seperti tongkat polisi. Nightstick Fracture dengan minimal displacement atau angulasi seperti gambar pada rontgen, dapat di tata laksan dengan gips lengan bawah (slab tangan hingga atas siku tangan ). Sedangkan, fraktur monteggia adalah cedera lebih kompleks yang melibatkan fraktur ulna dan dislokasi caput radial.
Jawabannya Nightstick Fracture, ya dok. Fraktur linear pada tulang ulna biasanya terjadi akibat mekanisme pukulan langsung ke lengan bawah. Ini biasanya merupakan cedera defensif yang terjadi pada orang yang berusaha memproteksi kepalanya dari pukulan seperti tongkat polisi. Nightstick Fracture dengan minimal displacement atau angulasi seperti gambar pada rontgen, dapat di tata laksan dengan gips lengan bawah (slab tangan hingga atas siku tangan ). Sedangkan, fraktur monteggia adalah cedera lebih kompleks yang melibatkan fraktur ulna dan dislokasi caput radial.